联系电话
随着医学科技的飞速发展,甲状腺结节的治疗方式也在不断创新与进步。杭州丹青江南医院紧跟时代步伐,引进了甲状腺结节热消融治疗这一先进技术,为患者带来了全新的治疗选择。

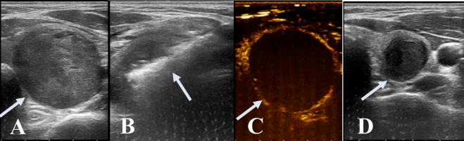
甲状腺结节热消融治疗是一种通过超声引导下精准定位并消除甲状腺结节的微创治疗方法。在治疗过程中,医生利用射频或微波技术产生的高温,使结节内的肿瘤细胞活性完全灭活,从而达到与传统手术相似的治疗效果,但更为微创、安全。

适应症广泛,满足不同患者需求
杭州丹青江南医院开展的热消融治疗适用于多种情况的甲状腺结节患者,包括但不限于:
经针吸细胞学检查或粗针穿刺活检确诊为良性的结节;
出现明显压迫症状,如颈部不适、疼痛、呼吸困难或吞咽困难的患者;
不适合手术切除或拒绝手术切除的患者;
结节外凸影响美观,或对术后美观有较高要求的患者;
甲状腺恶性病变复发者;
对甲状腺结节过度焦虑的患者;
经影像学评估无颈部淋巴结转移的甲状腺微小乳头状癌患者。

治疗优势明显,助力患者重拾健康
杭州丹青江南医院的热消融治疗具有以下显著优势:
创伤小、痛苦少:治疗过程仅通过皮肤微小切口进行,无需开刀,术后恢复快,无手术疤痕,更美观;
保护甲状腺功能:治疗过程中不损伤正常甲状腺组织,有效保护甲状腺功能,治疗后无需长期服药;
局部麻醉、精细操作:治疗在局麻下进行,手术过程精细可控,确保患者安全舒适;
不影响外观:由于治疗创伤小,术后无明显痕迹,不影响患者的外观形象。
治疗过程清晰透明
在杭州丹青江南医院接受热消融治疗的患者,将体验到以下清晰透明的治疗过程:
术前准备:通过常规超声检查明确结节位置、大小及性质;
精准消融:在超声引导下,将消融针精准插入结节内,启动消融程序,使结节区域产生高温灭活肿瘤细胞;
术后评估:消融术后即刻进行超声造影检查,确认结节已完全消融;术后三个月复查,观察结节体积明显缩小。

杭州丹青江南医院始终坚持以患者为中心的服务理念,致力于为每一位患者提供最适合自己的治疗方案。如果您正面临甲状腺结节的困扰,不妨来杭州丹青江南医院咨询了解热消融治疗这一创新技术吧!
联系电话
联系电话